Case Study: Academic customer was seeking to develop an agonistic antibody against a difficult antigen – a single transmembrane cell surface protein.
IVD Raw Materials
Home » Antibody Services » Monoclonal Antibody Services
Struggling to find a monoclonal antibody (mAb) for your research application but unsure about using a custom mAb generation service? At GenScript, we prioritize your scientific success and are here to help. If you have issues with antibody performance, or if no commercial mAb exists for your target antigen, a custom mAb may just be the solution to your problems. Our award-winning, fully custom mAb packages can be tailored to best suit your research needs so that you receive the most number of high-quality antibody clones for your downstream applications!
Proprietary Technology
Various Antigen Types
Advanced Antibody
Development Platform
Our AAALAC International accreditation and OLAW certification demonstrates our commitment to responsible animal care and use.
ELISA titer and Western blot guaranteed packages available.
Delivery of monoclonal antibodies 3 weeks faster than our competitors.
No project-associated information and products will be disclosed to anyone except the project owner.
Our confidence and near 100% success rate limit the risk to you.
GenScript has a proven track record of successful custom mAb generation and utilizes a range of proprietary technologies to maximize your chances of generating mAbs of high specificity and affinity. Our custom mAb services can be adapted to cater to all levels of project complexity.
Our customizable service options can handle all levels of project complexity. Whether you have a simple or challenging antigen, need a few or many mAb clones, or have specific screening requirements, rest assured that our antibody experts will do their best to tailor a custom mAb project to perfectly suit your research requirements.
Get started with our service selection guide below, or get in touch with us here.
YOU TELL US

Antigen information
Desired mAb clone number
Target research application
WHAT WE WILL DO
Antigen design & production (optional)
Develop project-specific mAb generation strategy
Application-tailored mAb clone screening
Case Study: Academic customer was seeking to develop an agonistic antibody against a difficult antigen – a single transmembrane cell surface protein.
Case Study 1: MonoRab™ was used to develop a high affinity, low cross-reactivity antibody against the small molecule Ractopamine.


The anti-Ractopamine rabbit MonoRab™ mAb showed very low affinity against very similar drugs (A) Salbutamol (Sal; IC50=173.7; cross reactivity rate=0.0304%), and (B) Clenbuterol (Cle; IC50=160.7; cross reactivity rate=0.0329%), but (C) very high affinity (IC50=0.05) against Rac.
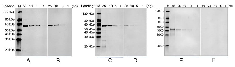
Case Study 2: MonoRab™ was used to develop an anti-FLAG tag antibody for Western blot and IP applications.
The rabbit anti-FLAG mAb generated using MonoRab™ demonstrated higher specificity and affinity than the corresponding anti-FLAG mouse mAb.
Lane A: MonoRab™ mAb; C-terminal flag tag fusion protein
Lane B: Mouse mAb; C-terminal flag tag fusion protein
Lane C: MonoRab™ mAb; N-terminal flag tag fusion protein
Lane D: Mouse mAb; N-terminal flag tag fusion protein
Lane E: MonoRab™ mAb; Mid-terminal flag tag fusion protein
Lane F: Mouse mAb; Mid-terminal flag tag fusion protein
Case Study 3: MonoRab™ was used to develop antibodies for IHC
Comparison of Rabbit and Mouse anti-β Actin mAb's in monkey lung.
GenScript generated mouse anti-beta actin mAb was visualized via anti-mouse 568 (A) and directly compared with GenScript generated rabbit anti-β actin visualized with anti-rabbit FITC (B). The resulting co-localization image (C) revealed significantly more binding of rabbit anti-beta actin than mouse, as highlighted by the white arrows, indicating that the rabbit anti-β actin mAb has a much higher affinity than its mouse generated counterpart.
Comparison of GenScript Rabbit Anti-Beta Actin mAb with Competitors in monkey cardiac muscle.
GenScript generated rabbit anti-beta actin mAb (A) was compared with competitor generated rabbit anti-beta actin mAb (B&C) via Nova-red visualization. The resulting images reveled that compared with competitor B, GenScript rabbit mAb showed significantly higher sensitivity as shown by the blue arrows. Compared with competitor C, Genscript's rabbit mAb showed higher specificity, as competitor C's mAb bound to other forms of actin present within the cardiac tissue, as shown via the yellow arrows.
Review some of our helpful antibody-related technical resources here!
We also offer specialized services such as phospho-specific and anti-idiotype antibody development.
Our customer service representatives are available 24 hours Monday through Friday. You may contact us anytime for assistance. Orders can be placed online, over the phone, by email or fax. Please have your payment information (credit card, purchase order or bank information) ready.